Week 4 in Myanmar
So week 4 is nearly underway. Of course, anyone reading this may think I’m off my trolley working in such a challenging environment at such an advanced age when I should be sipping a mature Chateauneuf du Pape, doing the Times crossword (which I can’t do anyway), and thinking about what time the cricket starts on Sky Sports and my next siesta.
But for those of you contemplating time away from the non-stop pressure of A&E, the unbending nature of the training programme, the lack of teaching, and feeling this is not the dream of a caring profession which you went into medicine or nursing for, then think of this: the patients you see are as sick as you’ve ever seen and

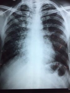
never waste your time with minor complaints; your knowledge and skills, however limited, can save lives (attached CXR reported as LVF: even my ex-consultant colleagues could do better – it’s miliary TB!); your willingness to help is openly appreciated; you learn about a new people, a new way of life, taste new and sometimes dubiously uncertain foods, and meet new friends; you see medicine you rarely see in the UK; and of course your view on life and medicine will never be the same.
Where you are just a training number you become a trusted and valued member of a team of like-minded volunteers from all parts of the world and all walks of life. For the first time an audience has actually listened to give me give some talks ! Sorry about that but it seems you can do this on a blog!!
Now the business stuff. I’ve been a jobbing HIV doc from the earliest of days but this morning’s problem is a tester: CD4 10, weight 38kg, confirmed TB rifampicin sensitive, confirmed cryptococcal meningitis, known non-adherence to EFV/TDF/3TC, and to cap it all HBV co-infected. And we have no separate TDF, no rifabutin, no integrase inhibitors. You improvise as best and safely as you can (and you e-mail your friends).
So, what else have I achieved? I managed to demonstrate how to perform a FibroScan to an assembled group of liver professors – the poor administrator of the unit was the unwilling volunteer; and I had a reminder afternoon on a neurologist’s ward round being consultoid on Tuesday – self-indulgent yes but we all need reminding that we did know a lot once upon a time and, of course, a little pampering by juniors does the moral the world of good! (And they don’t know I’m an ex-NHS consultant). And it’s not all hard work (picture of a volunteers’ night out)!!
Next week I hope to be getting to the TB hospital and seeing the set up. Plenty of MDRTB, XDRTB but at present no TDRTB (totally drug resistant). Much care is in the community.
But this afternoon onto the 11-hour overnight coach to Lake Ilne in the East; it’s like premium economy without food or drink, with Jet2.com personnel, no air conditioning and a poorly functioning chemical loo… …
